Thứ Ba, 18 tháng 2, 2020

[Infographic] Đây là cách virus Covid-19 tàn phá cơ thể người

Covid-19 - căn bệnh viêm đường hô hấp cấp do chủng virus corona mới gây ra đặc trưng bằng những triệu chứng chẳng khác gì cảm cúm. Một người khỏe mạnh sẽ nhiễm virus sau khi hít phải các giọt bắn từ người bệnh ho hoặc hắt xì hơi.

Sau đó, quá trình ủ bệnh âm thầm bắt đầu khi virus âm lên trong đường hô hấp. Các triệu chứng xuất hiện sau đó bao gồm ho, sốt, khó thở, đau đầu, sổ mũi. Nhưng chính xác thì bằng cách nào Covid-19 có thể tiến triển, để đặt một người chỉ đang sổ mũi vào máy thở và đôi khi giết chết họ?

[Infographic] Đây là cách virus Covid-19 tàn phá cơ thể người - Ảnh 1.
[Infographic] Đây là cách virus Covid-19 tàn phá cơ thể người - Ảnh 2.

Đối với hồ hết bệnh nhân, virus corona bắt đầu lây truyền và gây ra những tổn hại nặng nề nhất bên trong hai lá phổi của họ. Bởi suy cho cùng cũng giống như cúm, Covid-19 là một bệnh đường hô hấp.

Virus được hít vào từ những giọt bắn của một người bị bệnh, khi họ ho hoặc nhảy mũi. Từ đó, nó sẽ thâm nhập đường hô hấp của một người khỏe mạnh và tìm đến phổi. Ở phổi, Covid-19 mới tìm thấy tế bào mục tiêu của chúng.

Giống với virus SARS trước đây, Covid-19 có các protein dạng gai để kết liên với thụ thể ACE2. Mà thụ thể này chỉ có trong các tế bào phổi và tim của con người. Nhưng cả hai chủng virus này đều buông tha trái tim, vì một lý do nào đó các nhà khoa học cũng chưa thể biết.

*Tham khảo bài viết của thầy thuốc Trần Văn Phúc, bệnh viện Saint Paul: Hiểu đúng về họ virus corona để không hoảng loạn. Để cập nhật tình hình dịch bệnh Covid-19 (virus corona mới) nhấn vào .

Matthew B. Frieman, một phó giáo sư tại Đại học Maryland - người chuyên nghiên cứu các chủng virus corona có độc tính cao cho biết: Về căn bản, Covid-19 sẽ làm những gì na ná virus SARS đã làm. Nó sẽ gây bệnh theo 3 tuổi: nhân lên, kích thích phản ứng miễn nhiễm quá mức và rốt cuộc săn phẳng lá phổi của người bệnh.

Mặc dù vậy, không phải vơ bệnh nhân nhiễm virus corona đều kết thúc bằng một lá phổi mục ruỗng. Thống kê trước đây cho thấy chỉ có 25% bệnh nhân nhiễm SARS bị suy hô hấp nặng. hao hao, dữ liệu mới cho thấy khoảng 82% các ca nhiễm Covid-19 chỉ biểu đạt các triệu chứng nhẹ.

[Infographic] Đây là cách virus Covid-19 tàn phá cơ thể người - Ảnh 3.

Nhưng trong trường hợp một ca bệnh nghiêm trọng thì sao? Virus corona sẽ nhanh chóng choán được các tế bào phổi của con người phê duyệt những chiếc " cổng quẹt thẻ " ACE2. Những tế bào phổi có hai loại: những tế bào tạo ra chất nhầy và những tế bào có dạng lông gọi là vi mao.

Chất nhầy là một thành phần cần yếu bên trong phổi, nó bảo vệ mô phổi khỏi những mầm bệnh và bảo đảm cho cơ quan hô hấp của bạn không bị khô. Các tế bào vi mao được nhúng trong chất nhầy, chúng chuyển động liên tiếp để dọn sạch các mảnh vụn lạ được hít vào theo đường không khí, chả hạn như phấn hoa hoặc virus.

Frieman giải thích rằng SARS rất thích lây truyền và phá hủy những tế vào vi mao này. Virus chèn RNA của nó vào DNA của tế bào phổi và chiếm quyền kiểm soát nó. Ở đây, nó sẽ lợi dụng cỗ máy sản xuất protein và vật chất di truyền của tế bào vi mao để tự tổng hợp và nhân lên hàng ngàn lần.

Khi tế bào phổi đã chứa quá nhiều virus, nó đơn giản là bị nổ tung, giải phóng hàng chục ngàn con virus để chúng nối đi lây các tế bào mới. Phản ứng dây chuyền diễn ra khiến lớp vi mao trong phổi người bệnh bị bong tróc.

Người bệnh sẽ ho ra chúng, cùng với chất nhầy, các mảnh vụn, bụi bẩn và cả hàng triệu virus Covid-19 vừa được nhân lên nhưng chưa kịp chui vào các tế bào phổi mới. Điều này gây ra một loạt các triệu chứng bao gồm sốt, ho, khó thở và viêm phổi.

[Infographic] Đây là cách virus Covid-19 tàn phá cơ thể người - Ảnh 4.
[Infographic] Đây là cách virus Covid-19 tàn phá cơ thể người - Ảnh 5.

tuổi một kết thúc khi quá trình viêm bắt đầu hình thành. Lúc này, giai đoạn hai được bắt đầu khi hệ thống miễn dịch phát hiện ra thương tổn trong phổi gây ra bởi những con virus ngoại lai. Nó bắt đầu huy động một đội quân tế bào miễn dịch tràn vào phổi nhằm tiêu diệt virus và tu chỉnh những mô bị thương tổn.

Nếu người bệnh nhiễm Covid-19 có một hệ miễn dịch tốt, các tế bào sẽ làm đúng nghĩa vụ của mình. Chúng chỉ tấn công virus và đóng quân ở những vùng phổi bị thương tổn. Các thiệt hại mau chóng được khắc phục và người nhiễm virus sẽ tự khỏi bệnh.

Tuy nhiên, với những người có hệ miễn dịch đã bị trục trặc, đội quân tế bào của họ đơn giản là bị mất kiểm soát bít tất. Chúng sẽ chỉ tràn vào phổi và diệt bất kỳ một thứ gì trên đường đi của mình, cả các virus, cả các tế bào phổi còn đang khỏe mạnh.

bởi thế, người bệnh lúc này sẽ phải chịu thiệt hại kép từ phản ứng miễn nhiễm của mình. Phổi sẽ càng bị tổn thương nhiều hơn, với nhiều mảnh vụn hơn, gây tắc nghẽn và làm trầm trọng tình trạng viêm.

[Infographic] Đây là cách virus Covid-19 tàn phá cơ thể người - Ảnh 6.

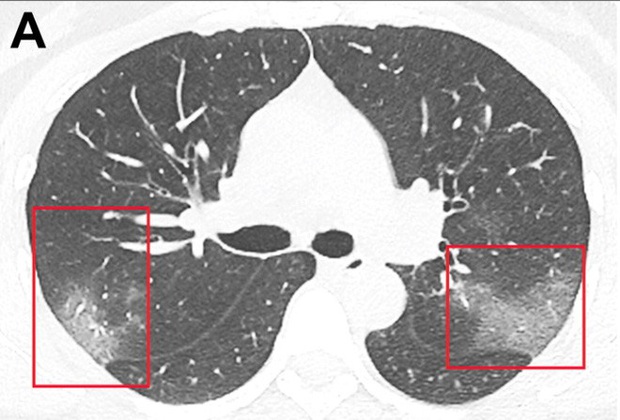
Ảnh chụp cắt lớp CT một lá phổi của bệnh nhân Covid-19 mô tả các thương tổn ở hai thùy.

Trong thời đoạn thứ ba, tổn thương phổi đấu tiến triển có thể dẫn đến suy hô hấp. Quy mô của cuộc tấn công lớn đến nỗi ngay cả khi bệnh nhân may mắn sống sót, các thương tổn này ở phổi cũng sẽ trở thành những vết sẹo vĩnh viễn.

Giống như SARS trước đây, Covid-19 có thể đục ruỗng phổi, để lại một lá phổi thủng lổ đổ giống như tổ ong. Các tổn thương này có thể được nhìn thấy trên phim chụp X-quang của bệnh nhân, hai lá phổi đơn giản là trắng xóa.

Lá phổi sẽ tự bảo vệ nó bằng cách hình thành những vết sẹo và cứng lại. Đây là lúc bệnh nhân không thể tự hô hấp được nữa, các Bác sĩ phải đặt máy thở cho họ. Cùng lúc đó, tình trạng viêm sẽ làm cho màng giữa các phế nang và mạch máu trở nên thẩm thấu hơn, gây tràn dịch và hạn chế khả năng hấp thu oxy của phổi.

" Trong các trường hợp nghiêm trọng, về cơ bản bạn sẽ làm ngập phổi của mình và không còn có thể thở ", Frieman nói. Đó chính là cách mà Covid-19 giết chết bệnh nhân, cũng chính là những vật chủ của mình.

*Để hiểu đúng về virus corona đang gây ra dịch Covid-19, hãy cùng thử làm bài trắc nghiệm dưới đây:

Tham khảo Nationalgeographic

0 nhận xét:

Đăng nhận xét